医院动态
术前准备时患者突发恶性心律失常 多学科携手成功救治
26日,一名74岁的患者因气管肿物导致严重呼吸困难,术前准备中突发恶性心律失常,意识丧失。危急时刻,北京天坛医院呼吸与危重症医学科、疼痛科、心内科、内镜中心护理团队等多学科紧密协作,为患者成功实施气道介入治疗,打通生命通道。
4个月前,李阿姨出现咳嗽、痰中带血的症状,严重时每天咳鲜血20多口,且合并高血压、冠心病、心绞痛等复杂基础疾病。她辗转多家医院求医,但因病情危重、气道阻塞严重都被建议转诊。抱着最后一丝希望,她来到北京天坛医院。
北京天坛医院呼吸与危重症医学科主任卜小宁介绍,来到医院时,李阿姨症状更加严重,出现憋气情况,血氧饱和度仅89%(正常人为95%-100%),血气分析提示为I型呼吸衰竭,随时可能因气道梗阻发生窒息。“我们和家属充分沟通手术的风险和获益,决定为患者实施支气管镜介入治疗,尽快解除气道梗阻。”
3月26日下午,患者被推进支气管镜室,准备进行手术。疼痛科柳露医生迅速为李阿姨接上麻醉剂面罩吸入纯氧,血氧饱和度维持在96%-100%。就在医护人员进行快速术前准备时,监护仪突然报警,显示李阿姨频发室性早搏,并迅速进展为频发多源室早、室性心动过速,不过半分钟的时间,患者意识丧失!
危急时刻,疼痛科柳露、姜磊、刘强等医生立即为患者置入喉罩接麻醉剂通气,并用药物控制室速,连接除颤仪备用,患者持续出现低氧、通气量不足,医生们当机立断,改为气管插管保障有效通气。
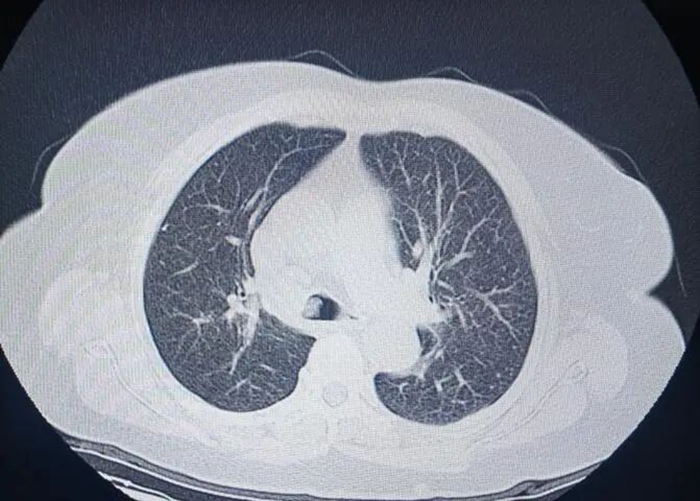
呼吸科王娟医生随即使用支气管镜探查,发现患者气管内积血,隆突上肿瘤阻塞大部分气管下段并完全阻塞右主支气管,左主支气管开口被肿瘤遮挡1/2,左下叶支气管内大量积血,医护团队立即快速吸引清理气道积血,保障左肺有效通气、防止窒息,同时紧急联系心内科会诊,刘燕医生同步完善心电图及血气分析,二线黄倩医生及RICU胡嘉艺医生也闻讯赶来支援。内镜中心护理团队张晨阳、石雅欣等在隗海朦护士长指挥下,克服患者躁动、血管条件极差的困难,迅速配合完成抽血送检心肌酶等检查。心内科马岩医生接到电话后跑步赶到,结合心电图及监护表现,排除急性心肌梗死,判断为缺氧诱发的心肌缺血及心律失常。
几乎是同时,疼痛科主任罗芳也赶到现场。此时,继续支气管镜治疗出现任何闪失都可能引发不可挽回的后果,但如不解除患者的气道梗阻,随时可能再次发生窒息或恶性心律失常甚至心梗,也将失去治疗机会。
经过快速评估,罗芳果断决策,为患者实施全身麻醉,全力保障支气管镜下介入治疗,在麻醉的保障下,王娟迅速展开手术。



“患者气道内肿瘤供血特别丰富,每切除一块肿瘤组织就有新发出血,一旦出血过多阻塞支气管,患者将会出现窒息,而抢救使用的肾上腺素又可能诱发新的心律失常。我就像走钢丝一样。”王娟说,在刘燕医生、张晨阳和石雅欣护士的精心配合下,最终找到了切除肿瘤、控制出血、维持正常心率之间的精准平衡,成功切除了隆突上及右主支气管的肿瘤,解除了肿瘤对气管下段、左主支气管的遮挡及右主支气管的阻塞,实现气道再通。患者血氧饱和度稳稳地升至100%。
目前,李阿姨的病情平稳,困扰已久的症状基本消除,正在逐步康复中。




















京公网安备111010602104056